マクロファージ 病理 特徴 細胞質

マクロファージ 染色

マクロファージ 染色

形質細胞 君はいったい何者だ

形質細胞 君はいったい何者だ

肌の老化を加速させる 老化細胞の蓄積 のメカニズムを発見 日本メナード化粧品株式会社のプレスリリース

肌の老化を加速させる 老化細胞の蓄積 のメカニズムを発見 日本メナード化粧品株式会社のプレスリリース

第7回 マクロファージ jbスクエア 日本血液製剤機構 医療関係者向け情報

第7回 マクロファージ jbスクエア 日本血液製剤機構 医療関係者向け情報

資生堂 世界で初めてマクロファージのバランスが皮膚老化に関与することを発見 慢性炎症が引き起こす インフラマエイジング に着目した新時代のエイジングケア 株式会社資生堂のプレスリリース

資生堂 世界で初めてマクロファージのバランスが皮膚老化に関与することを発見 慢性炎症が引き起こす インフラマエイジング に着目した新時代のエイジングケア 株式会社資生堂のプレスリリース

熊本大学 大学院生命科学研究部 細胞病理学講座

熊本大学 大学院生命科学研究部 細胞病理学講座

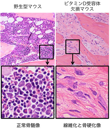
ビタミンdとマクロファージが骨髄線維症を進展させることを発見 research at kobe

ビタミンdとマクロファージが骨髄線維症を進展させることを発見 research at kobe

形質細胞 病理

形質細胞 病理

リンパ球の役割 リンパ腫のお話

リンパ球の役割 リンパ腫のお話

gastropedia ガストロペディア 消化器にかかわる医療関係者のために

gastropedia ガストロペディア 消化器にかかわる医療関係者のために

リンパ球 病理

リンパ球 病理

第8回 樹状細胞 jbスクエア 日本血液製剤機構 医療関係者向け情報

第8回 樹状細胞 jbスクエア 日本血液製剤機構 医療関係者向け情報

マクロファージ バーチャルラボラトリ

マクロファージ バーチャルラボラトリ

東永内科リウマチ科

東永内科リウマチ科

はたらく細胞 第10話感想 時に優しく時に激しい幾つもの顔を持つ殺し屋 マクロファージさんが大活躍 にじめん

はたらく細胞 第10話感想 時に優しく時に激しい幾つもの顔を持つ殺し屋 マクロファージさんが大活躍 にじめん

内山九段クリニック

内山九段クリニック

amazon コスプレ 衣装 はたらく細胞 マクロファージ メイド服 帽子付け パニエ付け 風 コスプレ衣装 cos cosplay 風 cosplay イベント パーティー 変装 仮装 女性m コスプレ 仮装 通販

amazon コスプレ 衣装 はたらく細胞 マクロファージ メイド服 帽子付け パニエ付け 風 コスプレ衣装 cos cosplay 風 cosplay イベント パーティー 変装 仮装 女性m コスプレ 仮装 通販

腫瘍にマクロファージが浸潤する仕組みを解明 新たながんの治療法開発に期待 国立研究開発法人日本医療研究開発機構

腫瘍にマクロファージが浸潤する仕組みを解明 新たながんの治療法開発に期待 国立研究開発法人日本医療研究開発機構

ヒトにおける共通単球前駆細胞の同定 ライフサイエンス 新着論文レビュー

ヒトにおける共通単球前駆細胞の同定 ライフサイエンス 新着論文レビュー

www stnv net

www stnv net

マクロファージ バーチャルラボラトリ

マクロファージ バーチャルラボラトリ

gastropedia ガストロペディア 消化器にかかわる医療関係者のために

gastropedia ガストロペディア 消化器にかかわる医療関係者のために

肺胞蛋白症専門情報 医療従事者向け

肺胞蛋白症専門情報 医療従事者向け

covid 19剖検例の解析と病理組織像

covid 19剖検例の解析と病理組織像

資生堂 世界で初めてマクロファージのバランスが皮膚老化に関与することを発見 慢性炎症が引き起こす インフラマエイジング に着目した新時代のエイジングケア 株式会社資生堂のプレスリリース

資生堂 世界で初めてマクロファージのバランスが皮膚老化に関与することを発見 慢性炎症が引き起こす インフラマエイジング に着目した新時代のエイジングケア 株式会社資生堂のプレスリリース

共同発表 腸炎発症を引き起こすマクロファージ集団を発見 消化管の炎症に特化した新たな治療法開発に期待

共同発表 腸炎発症を引き起こすマクロファージ集団を発見 消化管の炎症に特化した新たな治療法開発に期待

マクロファージ バーチャルラボラトリ

マクロファージ バーチャルラボラトリ

最近研究成果の解説 東邦大学理学部 生物分子科学科 永田研究室

最近研究成果の解説 東邦大学理学部 生物分子科学科 永田研究室

玄米食のご案内 大潟村あきたこまち生産者協会

玄米食のご案内 大潟村あきたこまち生産者協会

マクロファージ wikipedia

マクロファージ wikipedia

You May Like
hits counter