子宮角部 卵管間質部

雪花新闻

雪花新闻

输卵管狭窄是什么原因 对怀孕影响 中药调理 改善方法 不孕不育 孕儿百科 孕儿吧社区

输卵管狭窄是什么原因 对怀孕影响 中药调理 改善方法 不孕不育 孕儿百科 孕儿吧社区

彩超鑑別宮角妊娠與輸卵管間質部妊娠 兩者手術方式不同

彩超鑑別宮角妊娠與輸卵管間質部妊娠 兩者手術方式不同

合肥医疗纠纷律师

合肥医疗纠纷律师

xxpt talecare com

xxpt talecare com

輸卵管 曉茵萬事通

輸卵管 曉茵萬事通

殘角子宮妊娠手術 英文 拼音 什么是殘角子宮妊娠手術 醫學百科

殘角子宮妊娠手術 英文 拼音 什么是殘角子宮妊娠手術 醫學百科

每日頭條

每日頭條

産婦人科の基礎知識

産婦人科の基礎知識

新頭網

新頭網

怎么证明输卵管是通的 育儿 品阅网

怎么证明输卵管是通的 育儿 品阅网

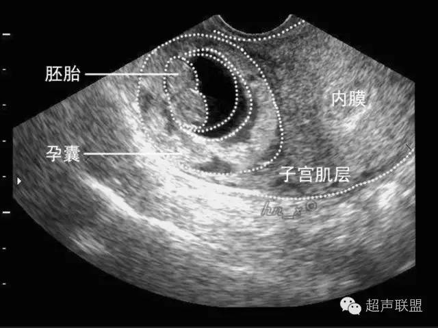
宮角妊娠 宮角妊娠是一種胚胎種植在接近子宮與輸卵管開口交界處的宮角部的子 百科知識中文網

宮角妊娠 宮角妊娠是一種胚胎種植在接近子宮與輸卵管開口交界處的宮角部的子 百科知識中文網

異位妊娠 輸卵管破裂 防止危險情況發生牢記首次b超檢查時間 人人焦點

異位妊娠 輸卵管破裂 防止危險情況發生牢記首次b超檢查時間 人人焦點

1 202 195 201

1 202 195 201

七夕節快到了 輸卵管不通 精子和卵子怎相會 介入技術當紅娘 雪花新闻

七夕節快到了 輸卵管不通 精子和卵子怎相會 介入技術當紅娘 雪花新闻

什么是异位妊娠 它和流产的区是 健康频道 手机搜狐

什么是异位妊娠 它和流产的区是 健康频道 手机搜狐

知乎专栏

知乎专栏

输卵管狭窄是什么原因 对怀孕影响 中药调理 改善方法 不孕不育 孕儿百科 孕儿吧社区

输卵管狭窄是什么原因 对怀孕影响 中药调理 改善方法 不孕不育 孕儿百科 孕儿吧社区

レディースホーム

レディースホーム

生殖系统 维基百科 自由的百科全书

生殖系统 维基百科 自由的百科全书

5gbcqvguyr8djm

5gbcqvguyr8djm

幫趣

幫趣

宮外孕大出血無家屬簽字 醫生 先救人 真的這麼緊急嗎 ifuun

宮外孕大出血無家屬簽字 醫生 先救人 真的這麼緊急嗎 ifuun

妈妈育儿网

妈妈育儿网

wantubizhi com

wantubizhi com

子宫输卵管造影一文搞定 影像ppt

子宫输卵管造影一文搞定 影像ppt

輸卵管堵塞 備孕大半年 是該堅持自然受孕 還是做試管呢 壹讀

輸卵管堵塞 備孕大半年 是該堅持自然受孕 還是做試管呢 壹讀

介入灌注臭氧疏通輸卵管堵塞解析 每日頭條

介入灌注臭氧疏通輸卵管堵塞解析 每日頭條

You May Like
hits counter