灰白 白質 ct

神戸頭部研究会

神戸頭部研究会

d101 牙放共筆w11

d101 牙放共筆w11

簡明又詳細的頭部ct讀片詳解 收藏 每日頭條

簡明又詳細的頭部ct讀片詳解 收藏 每日頭條

阿摩線上測驗

阿摩線上測驗

学术堂

学术堂

www teacher aedocenter com

www teacher aedocenter com

大脑灰质白质示意图 信息评鉴中心 酷米资讯 kumizx com

大脑灰质白质示意图 信息评鉴中心 酷米资讯 kumizx com

ギモンらど

ギモンらど

值得收藏的颅脑21种影像征像 血管 脑膜 脑室 硬脑膜 小脑 网易订阅

值得收藏的颅脑21种影像征像 血管 脑膜 脑室 硬脑膜 小脑 网易订阅

重新載圖79 56歲肺癌男性 最近兩天頭痛 肢體無力 ct顯示右側腦部白質 wh 阿摩線上測驗

重新載圖79 56歲肺癌男性 最近兩天頭痛 肢體無力 ct顯示右側腦部白質 wh 阿摩線上測驗

www dango ne jp

www dango ne jp

脑袋里的羽毛 到底是什么 神经内外 丁香园论坛

脑袋里的羽毛 到底是什么 神经内外 丁香园论坛

簡明又詳細的頭部ct讀片詳解 收藏 每日頭條

簡明又詳細的頭部ct讀片詳解 收藏 每日頭條

www teacher aedocenter com

www teacher aedocenter com

geocities ws

geocities ws

geocities ws

geocities ws

article info

article info

geocities ws

geocities ws

mr脑灰白质成像 知乎

mr脑灰白质成像 知乎

急性缺血性脑卒中ct检查重点须知 这套方案可救命

急性缺血性脑卒中ct检查重点须知 这套方案可救命

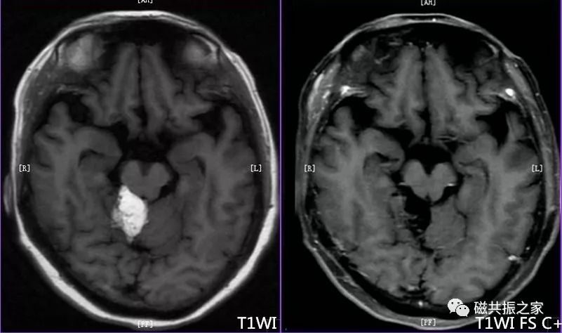
图文 21个导致基底节异常的疾病 你知道几个 壹读

图文 21个导致基底节异常的疾病 你知道几个 壹读

颅脑先天性疾病影像诊断

颅脑先天性疾病影像诊断

診療放射線技師のバイブル

診療放射線技師のバイブル

geocities ws

geocities ws

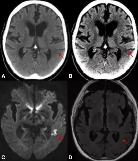
缺血性脑卒中早期ct表现

缺血性脑卒中早期ct表现

中枢神经系统影像诊断 ppt download

中枢神经系统影像诊断 ppt download

mr脑灰白质成像 知乎

mr脑灰白质成像 知乎

簡明又詳細的頭部ct讀片詳解 收藏 每日頭條

簡明又詳細的頭部ct讀片詳解 收藏 每日頭條

mr脑灰白质成像 知乎

mr脑灰白质成像 知乎

mr脑灰白质成像 知乎

mr脑灰白质成像 知乎

You May Like
hits counter